Symbionic Teeth: Der Zahnersatz mit der Schutzbarriere
Symbionic Teeth sind der Zahnersatz der neuesten Generation. Sie erzeugen eine mukosale Schutzbarriere gegen Plaque und Bakterien nach Vorbild des natürlichen Zahns. Langzeitstudien zufolge können dadurch Nebenwirkungen wie Mukositis und Periimplantitis deutlich reduziert respektive gänzlich vermieden werden.1, 2 Dies ermöglicht erstmals stabile ästhetische Resultate von festsitzenden Versorgungen.1

Natürliche Zähne sind im Weichgewebe von einer Schutzbarriere umgeben. Sie verhindert, dass Plaque und Bakterien in das umliegende Gewebe eindringen. Für die dentale Gesundheit ist sie somit von entscheidender Bedeutung. Mit dem Verlust eines Zahns geht auch dessen Schutzbarriere verloren. Kein Zahnimplantat kann Stand heute die Funktion dieser Barriere wiederherstellen.
Mukosale Schutzbarriere
Mit Symbionic Teeth ist dies erstmals möglich. Symbionic Teeth erzeugen eine mukosale Schutzbarriere nach Vorbild des natürlichen Zahns. Voraussetzung für das Entstehen einer mukosalen Schutzbarriere ist das Verwachsen von oralem Weichgewebe mit dem Halsbereich eines Symbionic Tooth. Dieser Vorgang konnte bei Symbionic Teeth der Marke Patent™ erstmals überhaupt für eine Zahnersatzlösung nachgewiesen werden (Abb. 2).3-5 Damit stellen Symbionic Teeth die konsequente Weiterentwicklung von Zahnimplantaten dar.

Abb. 2: Rasterelektronenmikroskopische Aufnahme zeigt das Verwachsen von Weichgewebe mit Patent™ Symbionic Teeth.

Abb. 3: Histologischer Querschnitt zeigt den Verbund zwischen Saumepithel (JE) und Patent™ Oberfläche, welcher die Migration von Plaque und Zahnstein (CAC) in die Gewebe verhindert.
Neues Level an klinischen Möglichkeiten
Die mukosale Schutzbarriere schirmt das Gewebe vor Plaquemigration und Krankheitserregern wie Bakterien ab (Abb. 3). Dadurch können Zahnersatzspezialisten die Gewebegesundheit bei ihren Patienten erhalten und die für Zahnimplantate typischen Nebenwirkungen (43% Mukositis und 22% Periimplantitis6) deutlich reduzieren respektive gänzlich vermeiden.1, 2 Dies ermöglicht langfristig stabile ästhetische Resultate.1
Einzigartiger Medical Value dank mukosaler Schutzbarriere
- Mukosale Schutzbarriere verhindert Plaquemigration entlang des Patent™ Halsbereichs tief in die Gewebe (Abb. 3).3-4
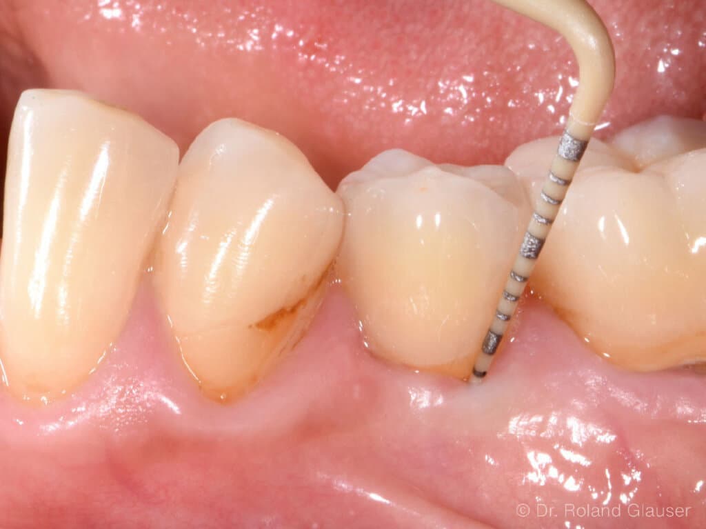
- Patent™ Symbionic Teeth zeigen nach 9 Jahren eine durchschnittliche Sondierungstiefe von 3 mm (entspricht dem Benchmark eines gesunden natürlichen Zahns; Abb. 4).1
- Patent™ Symbionic Teeth zeigen nach 9 Jahren durchschnittliche Mukosa-Rezession von 0,1 mm und damit langfristig stabile Ästhetik.1
- Langzeitstudien berichten niedrige Raten von Mukositis und keine Periimplantitis – selbst bei Patienten mit Risikofaktoren.1, 2
Zahnersatz der neuesten Generation
Symbionic Teeth sind der Zahnersatz der neuesten Generation. Sie erzeugen eine mukosale Schutzbarriere, welche das Gewebe vor Plaquemigration und Bakterien abschirmt. Dieser medizinische Durchbruch ermöglicht Zahnersatz, der auf Augenhöhe mit natürlichen Zähnen performt.

Abb. 4: Ein Patent™ Symbionic Tooth nach 4,5 Jahren: Die maximale Sondierungstiefe von 3 mm entspricht dem physiologischen Zustand eines gesunden natürlichen Zahns.
Weitere Informationen finden Sie auf www.mypatent.com
Patent Medical AG
Churerstrasse 66
CH-8852 Altendorf
info@mypatent.com
- Brunello G, Rauch N, Becker K, Hakimi AR, Schwarz F, Becker J. Two-piece zirconia implants in the posterior mandible and maxilla: A cohort study with a follow-up period of 9 years. Clin Oral Implants Res. 2022;33(12):1233-1244. doi:10.1111/clr.140055.
- Karapataki S, Vegh D, Payer M, Fahrenholz H, Antonoglou GN. Clinical performance of two-piece Zirconia dental implants after 5 and up to 12 years. Int J Oral Maxillofac Implants. 2023;38(6):1105-1114. doi:10.11607/jomi.10284
- Bosshardt D. Soft Tissue Healing and Soft Tissue Barrier Around Oral Implants. Presented at: Oral Health Research Congress; September 12–14, 2024; Geneva, Switzerland.
- Glauser R. Soft tissue bond—the missing element for the prevention of peri-implant diseases? Presented at: EuroPerio 11 Congress; May 14–17, 2025; Vienna, Austria.
- Sculean A. The novel Zero Peri-Implantitis Concept—a valid treatment option for perio patients? Presented at: EuroPerio 11 Congress; May 14–17, 2025; Vienna, Austria.
- Derks J, Tomasi C. Peri-implant health and disease. A systematic review of current epidemiology. J Clin Periodontol. 2015;42 Suppl 16:S158-71. doi:10.1111/jcpe.12334